...

Understanding the True Value of a Deep Cleaning

deep cleaning teeth - healthy gums

When considering the price for deep cleaning teeth, it’s helpful to understand what this essential treatment involves and the factors that shape its cost. Let’s explore what determines the specifics of your deep cleaning treatment:

Key Factors Determining Your Treatment Plan:

  • Severity of gum disease – Early gingivitis requires less treatment than advanced periodontitis
  • Number of quadrants treated – Treatment may involve one section or your entire mouth
  • Additional procedures needed – Local anaesthesia, follow-up care, or periodontal maintenance
  • Technology and techniques used – Modern ultrasonic scalers and advanced methods

Deep cleaning, also known as scaling and root planing, goes far beyond a regular dental clean. While a standard clean focuses on surfaces above your gum line, deep cleaning targets harmful bacteria and tartar buildup below the gums that cause gum disease.

This therapeutic treatment isn’t just about oral health – it’s about preventing tooth loss, eliminating persistent bad breath, and creating a healthy foundation for any future cosmetic dental work like veneers or orthodontic treatments.

As Dr. Kent Boon, Principal Dentist at Kita Dental in Sydney, I’ve helped countless patients understand the comprehensive nature of this essential treatment. My experience shows that addressing gum disease early through deep cleaning saves patients from more complex and extensive treatments down the road.

Infographic showing the detailed comparison between regular dental cleaning above the gum line versus deep cleaning scaling and root planing below the gum line, with visual representations of healthy gums, gingivitis, and periodontitis stages, including treatment areas and benefits of each procedure - deep cleaning infographic infographic-line-3-steps-blues-accent_colors

Related Deep Cleaning Topics:

What is a Deep Cleaning and Why Might You Need One?

Think of your mouth like a garden that needs different levels of care. Sometimes a gentle surface watering is enough, but other times you need to get down to the roots to keep everything healthy. When it comes to your teeth and gums, a deep cleaning is like that intensive root-level care your smile sometimes needs.

Deep cleaning, professionally known as scaling and root planing, is a therapeutic treatment that goes far beyond your regular six-monthly checkup. It’s important to first understand what makes this treatment so different from routine care.

This specialized procedure targets periodontal disease – a condition that starts small but can have big consequences if left untreated. It all begins with gingivitis, where plaque hardens into tartar and starts irritating your gums. Your gums become red, swollen, and might bleed when you brush. But here’s where things get serious: if gingivitis progresses, it develops into periodontitis, where harmful bacteria create pockets below the gumline.

Progression of gum disease from healthy gums to advanced periodontitis, showing increasing inflammation, pocket formation, and bone loss

These pockets become hiding spots where bacteria multiply, eventually affecting the bone that supports your teeth. Without proper therapeutic treatment, you could face tooth loss and other serious complications. The good news? Deep cleaning can halt this progression and help your gums heal.

Understanding the signs of gingivitis early can save you from more complex treatments later. That’s why at Kita Dental in Mascot, we focus on catching these issues before they become major problems.

The Difference Between a Regular Clean and a Deep Clean

Many patients wonder Why Do I Need Scaling and Root Planing Instead of a Regular Cleaning? The answer lies in understanding what each treatment addresses.

Your regular clean, called prophylaxis, is preventive care designed for healthy mouths. During these routine visits, we remove plaque and tartar from above the gumline and polish your teeth. It’s maintenance that keeps problems from starting – like regular car servicing to prevent breakdowns.

Deep cleaning is different because it’s treating active disease. We’re not just maintaining health; we’re actively fighting infection and inflammation that’s already taken hold below the gumline. This involves two key steps that make it more complex than routine cleaning.

The scaling process uses specialized tools, including advanced ultrasonic scalers, to carefully remove stubborn tartar and bacteria from areas regular cleaning can’t reach. You can learn more about this in our detailed explanation of Scaling Meaning in Dental.

Root planing follows, where we smooth the root surfaces of your teeth. This removes bacterial toxins and creates a clean surface that encourages your gums to heal and reattach properly to your teeth.

Think of it this way: if regular cleaning is like dusting your house, deep cleaning is like spring cleaning when things have gotten out of hand. Both are valuable, but they serve very different purposes.

Common Signs You May Need a Deep Cleaning

Your body has a way of telling you when something needs attention, and your gums are no exception. While only a professional examination can determine if you need deep cleaning, certain symptoms often signal that bacteria have moved below your gumline.

Bleeding gums are usually the first warning sign. If you notice pink in the sink when brushing or flossing, your gums are telling you they’re inflamed. Persistent bad breath that doesn’t improve with brushing often indicates bacteria are hiding in places your toothbrush can’t reach.

Swollen or tender gums that look red and puffy instead of firm and pink suggest inflammation is present. You might also notice your gum line receding, making your teeth appear longer than before. This exposes sensitive root surfaces and creates more spaces for bacteria to hide.

More advanced signs include loose teeth that feel different when you bite or chew. This happens when gum disease has progressed enough to affect the bone supporting your teeth. Some patients also notice pus between their teeth and gums or new spaces developing between teeth.

If you’re experiencing any of these symptoms in the Mascot or Sydney area, don’t wait to seek professional care. Early intervention through our General Dental Care services can prevent these issues from progressing to more serious problems that might require complex treatments.

The key is understanding that these symptoms aren’t just cosmetic concerns – they’re signs that your oral health foundation needs attention before you can confidently pursue other treatments like cosmetic dentistry or orthodontics.

Factors That Determine Your Deep Cleaning Treatment Plan

We believe in being completely transparent about what goes into your personalised treatment plan. A deep cleaning isn’t a one-size-fits-all procedure because it truly depends on your unique oral health situation.

One of the biggest influences on your treatment is the severity of your gum disease. Imagine a small patch of weeds versus an overgrown garden. A mild case of gingivitis, caught early, will naturally need less extensive care than advanced periodontitis, which might involve significant infection and even bone loss. The more widespread and complex the problem, the more detailed and precise our work needs to be.

Another key factor is how much of your mouth needs attention, often called the number of quadrants. Your mouth is typically divided into four sections: upper right, upper left, lower right, and lower left. Depending on where the gum disease is hiding, you might only need a deep cleaning in one area, two, or even a full mouth treatment covering all four. Each section requires dedicated time and careful cleaning.

Your comfort is always a top priority for us at Kita Dental. We often suggest local anaesthesia to gently numb the areas we’re working on. This helps ensure a relaxed and comfortable experience during your deep cleaning.

It’s also good to know that a deep cleaning isn’t always a single appointment. It may involve follow-up appointments so we can check on your healing and make sure your gums are responding well to the treatment. After your initial deep clean, especially if you’ve had gum disease, you’ll likely need regular periodontal maintenance appointments. These are a bit more frequent and thorough than standard cleans, and they’re absolutely vital for preventing the gum disease from coming back and protecting your long-term oral health.

We also use the best technology available to give you effective and gentle care. For example, our ultrasonic scalers use gentle vibrations to efficiently remove stubborn plaque and tartar. This modern approach helps us provide a more comfortable experience than traditional methods.

The Role of a Comprehensive Dental Examination

Before we even think about a deep cleaning, a thorough initial consultation and comprehensive dental examination are essential. This isn’t just a quick peek; it’s a deep dive into your oral health. During this visit, we perform something called periodontal charting. This involves carefully measuring the tiny spaces, or “pockets,” around each of your teeth. Healthy gums have shallow pockets, but deeper pockets can tell us a lot about the presence and severity of gum disease.

We’ll also look closely at any plaque and tartar buildup, check for signs of bone loss, and assess the overall health of your gum tissue. This careful, detailed oral health assessment helps us understand exactly what’s going on in your mouth. From there, we can create a personalised treatment plan that’s custom-made just for you, ensuring the recommended treatment is truly what you need.

How Treatment Complexity Influences Your Care Plan

The complexity of your gum disease directly shapes the nature of your deep cleaning. Think of it this way: dealing with early-stage gingivitis is typically a less involved process than treating advanced periodontitis. In the early stages, the infection might be confined to a smaller area, meaning less extensive cleaning is needed. However, with advanced periodontitis, there could be significant inflammation, much deeper pockets, and even some bone loss, which requires more meticulous and time-consuming work across more areas of your mouth.

Whether you need a deep clean in just a single quadrant or a full mouth treatment will also significantly influence the scope of your care. Cleaning one section of your mouth is naturally less extensive than cleaning all four. The number of teeth involved and the amount of calculus present are key factors that affect the time and effort needed.

Finally, the necessity for follow-up care is a crucial part of protecting your gum health long-term. As we mentioned, after a deep cleaning, we often recommend more frequent periodontal maintenance appointments. This ongoing care is crucial for ensuring the disease stays under control and for preventing a relapse. It’s an important part of maintaining the benefits of your deep cleaning and protecting your healthy smile for many years to come. To learn more about maintaining your oral health, explore our General Dental Care services.

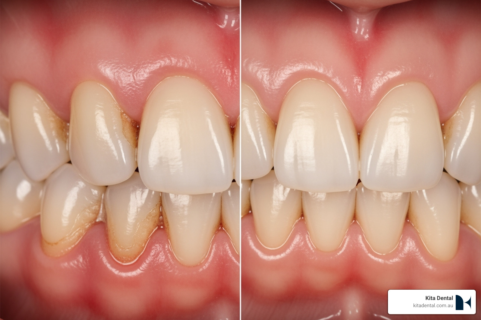
The Benefits: A Healthy Foundation for a Confident Smile

A deep cleaning is far more than just a dental procedure. It’s a commitment to your confidence, your health, and your future smile. The benefits of deep cleaning extend well beyond what you might initially expect, creating a ripple effect of positive changes throughout your oral health journey.

Before and after images showing the change of inflamed, red gums to healthy, pink gums after deep cleaning

The most immediate benefit you’ll notice is halting gum disease in its tracks. Think of it as stopping a fire before it spreads through your entire mouth. By thoroughly removing the bacterial colonies hiding below your gum line, we eliminate the source of infection and inflammation that’s been causing your discomfort.

This intervention directly leads to preventing tooth loss – something that becomes increasingly important as we age. Your teeth are meant to last a lifetime, and healthy gums are their best insurance policy. When gums are diseased, they can’t properly support your teeth, leading to loosening and eventual loss.

One of the most socially impactful benefits is eliminating bad breath. That persistent, embarrassing odour that doesn’t go away with brushing or mouthwash? It’s often caused by bacteria thriving in those deep gum pockets. Once we remove these bacterial communities, fresh breath returns naturally, giving you the confidence to speak, laugh, and smile freely again.

The visual change is equally remarkable. Reducing inflammation means your gums return to their natural pink colour, becoming firm and healthy-looking instead of red, puffy, and prone to bleeding. This creates the foundation for a truly beautiful smile. You can find more about these advantages in our detailed guide on 5 Benefits of Teeth Scaling.

Essential Preparation for Cosmetic Dentistry

If you’ve been dreaming of changing your smile with cosmetic treatments, here’s something many people don’t realise: healthy gums are absolutely essential before any cosmetic work begins. It’s like trying to paint a masterpiece on a damaged canvas – the results simply won’t be what you’re hoping for.

When we place Dental Veneers or perform other cosmetic procedures, we need your gums to be in perfect health. Inflamed or diseased gums can affect how veneers fit, how they look, and most importantly, how long they’ll last. Swollen gums might recede after treatment, exposing veneer margins and compromising your beautiful new smile.

Deep cleaning serves as the crucial prerequisite for cosmetic treatments, ensuring that your gums provide a stable, healthy foundation. This preparation significantly improves the longevity of results, protecting the outcome of your new smile. When your gums are healthy, your cosmetic work can truly shine and last for years to come.

Ensuring Success for Orthodontic Treatments

The relationship between gum health and orthodontic success is something we see every day at our Mascot practice. Whether you’re considering Invisalign or traditional braces, your gums need to be healthy before we begin moving your teeth.

Here’s why this matters: orthodontic treatment involves carefully controlled forces that guide your teeth into new positions. If gum disease is present, these forces can actually worsen the condition, potentially leading to increased bone loss or complications during treatment. It’s like trying to build on unstable ground – the results won’t be reliable.

Gum health and tooth movement work hand in hand. Healthy gums and the bone that supports them provide the stable environment necessary for successful orthodontic treatment. When we eliminate infection and inflammation through deep cleaning, we’re essentially supporting tooth structure and creating the ideal conditions for your teeth to move safely and predictably.

This proactive approach ensures that your orthodontic journey proceeds smoothly, and your final results are built on a foundation of optimal oral health. Whether you choose Invisalign or braces, starting with healthy gums gives you the best possible outcome for your smile change.

Frequently Asked Questions about Deep Teeth Cleaning

It’s natural to have questions about deep cleaning, and we hear them often! We want to put your mind at ease. Here are some of the most common queries our wonderful patients in Mascot, Sydney, ask us.

A dental hygienist wearing gloves and a mask is gently explaining the deep cleaning procedure to a calm patient in a modern dental chair. The image focuses on clear communication and patient comfort.

Is a deep cleaning procedure painful?

This is perhaps the question we hear most often, and it’s a completely understandable concern! We want you to know that your comfort is always our top priority at Kita Dental. While a deep cleaning does involve working gently beneath your gum line – an area that can be a bit sensitive – we take every step to ensure your visit is as comfortable as possible.

Before we begin, we typically use a local anaesthetic to gently numb the area we’re working on. This means you won’t feel any pain during the scaling and root planing process itself. You might notice a little pressure or a gentle vibration from our advanced instruments, but it certainly shouldn’t be painful.

After your appointment, once the numbing wears off, it’s quite normal to experience some mild sensitivity or a little soreness in your gums for a few days. Think of it like a muscle recovering after a good workout! This is just a natural part of the healing process as your gums begin to recover and get healthier. We’ll make sure to send you home with clear post-procedure care instructions, which might include tips for managing any temporary discomfort with simple over-the-counter remedies or special rinses. Most of our patients find any tenderness easy to manage, and it quickly fades, leaving them with a much healthier, happier smile!

Choosing to skip a recommended deep cleaning might seem like a small decision, but it can have big consequences for both your oral health and your overall well-being. If gum disease is left untreated, it doesn’t just stay put; it will unfortunately progress. This progression of periodontitis means the infection continues to damage the very tissues and bone that support your teeth.

As the disease quietly advances, you’ll likely start to experience increased bone loss around your teeth. Think of it like the foundation of a house crumbling – without that strong support, your teeth can start to become loose, leading to tooth mobility and loss. No one wants to face the prospect of losing their natural teeth! Should that happen, replacing them can involve more extensive procedures like Dental Implants, which are a bigger commitment than addressing the issue early.

Beyond your smile, there’s a strong connection between your mouth and the rest of your body. Untreated gum disease has been linked to other serious health concerns, including heart disease, stroke, and diabetes. It truly highlights how your oral health is a key part of your total health picture. In short, postponing a necessary deep cleaning almost always leads to the need for more complex treatments later on. We always say, a little care now can save a lot of worry (and more involved procedures) down the road!

How long does the procedure take and what is the recovery like?

The appointment duration for a deep cleaning can vary, as it really depends on how much attention your gums need and how many areas (quadrants) we’re treating. For a full mouth deep cleaning, we often suggest dividing the procedure into two separate visits. This way, we can focus carefully on one side of your mouth at a time, making sure everything is thoroughly cleaned and ensuring your maximum comfort. Each appointment typically lasts about an hour or sometimes a bit longer, allowing us to provide the most precise care.

When it comes to recovery, most of our patients find it quite manageable. You might notice some mild sensitivity or a little soreness for a few days after your visit, especially once the numbing wears off. We usually recommend sticking to a soft food diet for the first 24 to 48 hours – think soups, yogurt, or mashed potatoes – just to give your healing gums a gentle break. It’s also wise to avoid very hot or cold foods and drinks during this initial period.

Of course, we’ll send you home with detailed post-treatment instructions custom just for you. These will guide you on gentle oral hygiene practices, like careful brushing and rinsing, and let you know if any special rinses are needed. Following these guidelines carefully is key to a smooth and quick recovery. Most people can comfortably resume normal oral hygiene habits, including brushing and flossing, within a few days, just a bit more gently at first. We’ll also chat about future follow-up and maintenance appointments to keep your gums wonderfully healthy for the long run!

Your Next Steps Towards Optimal Oral Health in Mascot

Understanding the importance of a deep cleaning is truly about seeing the bigger picture; it’s about appreciating the value of a healthy, vibrant foundation for your smile. Here at Kita Dental, nestled conveniently in Mascot, Sydney, NSW, we are wholeheartedly dedicated to offering you comprehensive and compassionate dental care that puts your comfort and well-being first.

If you’ve noticed any of those subtle (or not-so-subtle) signs of gum disease, or if it’s simply been a while since your last dental check-up, we warmly invite you to schedule a personalised consultation with us. This isn’t just a quick peek; it’s an opportunity for our experienced team to conduct a thorough professional assessment of your unique oral health needs. We’ll take the time to listen to your concerns, answer every single one of your questions, and then, together, we’ll outline a clear, custom treatment plan. You’ll understand every step of the journey required to achieve your optimal oral health.

Choosing to proceed with a deep cleaning isn’t just about addressing an immediate concern; it’s a powerful step towards safeguarding your long-term oral health. It’s about proactively preventing far more serious and complex issues from emerging down the road. This crucial therapeutic treatment helps you maintain a truly vibrant, healthy smile that doesn’t just look good, but genuinely contributes to your overall well-being. After all, a healthy mouth is a cornerstone of a healthy body!

At Kita Dental, whether you’re looking for a routine check-up, dreaming of a complete smile makeover with solutions like Dental Veneers or Dental Implants, exploring orthodontic options like Invisalign or traditional braces, or require specific periodontal care, our dedicated team is here to support you every step of the way.

We truly believe that a healthy smile is the most beautiful smile, and we are deeply committed to helping you achieve and maintain yours for years to come. To find more about how we can help you maintain excellent oral health, we encourage you to explore our comprehensive General Dental Care services. We eagerly look forward to welcoming you to our boutique clinic and guiding you on your journey to optimal oral health right here in Mascot.

Clinical Review: This article has been reviewed and approved for accuracy by Dr. Kent Boon, Principal Dentist at Kita Dental in Mascot, Sydney.

Scroll to Top
Scroll to Top